네바다주에서 '뇌 먹는 아메바'에 감염되어 사망한 사례가 또 다시 발생했습니다. 최근 두 살짜리 아이가 '뇌 먹는 아메바'에 감염되어 사망한 것으로 확인되었습니다. 미 질병통제예방센터(CDC)도 이 사례를 확인하고, 원인은 네글레리아 파울러리라고 밝혔습니다.
미국 뇌 먹는 아메바 감염경로
이 아이는 링컨 카운티의 천연 온천에서 아메바에 노출된 것으로 추정되었습니다. 네글레리아 파울러리는 미세한 아메바로, 뇌 조직을 파괴해 매우 심각한 뇌 감염을 일으킬 수 있습니다. 미국에서는 이전에도 네글레리아 파울러리에 감염된 사례가 있었습니다. 지난해 10월에는 라스베이거스 호수에서 한 아이가, 7월에는 아이오와주에서 한 여성이 이 아메바에 감염되어 사망한 사례가 있었습니다. 네브래스카주와 미주리주에서도 지난해 여름 네글레리아 파울러리 감염 사례가 보고되었습니다.
미국 뇌 먹는 아메바 네글레리아 파울러리 치명률
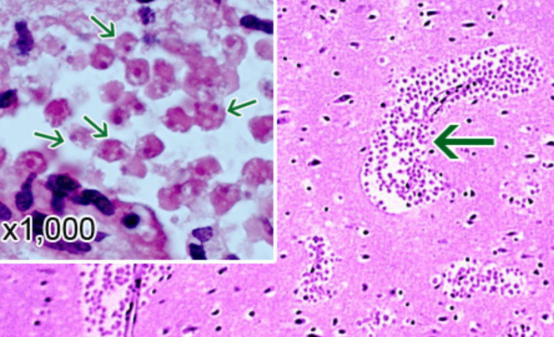
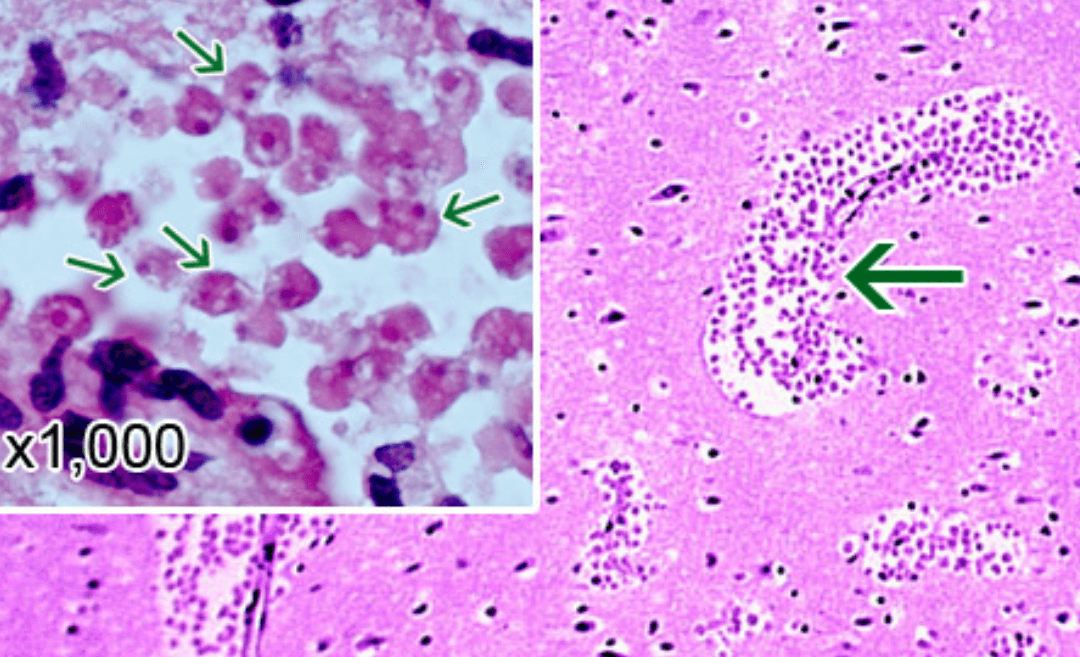
네글레리아 파울러리는 물속에서 사람의 코를 통해 뇌에 침투하면 세포를 파괴하고 심각한 피해를 초래합니다. 1962년부터 2020년까지 확인된 환자 중 151명 가운데 147명이 사망(치사율 97.3%)한 것으로 알려져 있습니다. 이에 따라 보건 당국은 예방을 위해 물 속에서의 안전한 행동과 적절한 위생 수칙을 주의하도록 당부하고 있습니다.
미국 뇌 먹는 아메바 한국 사망 사례
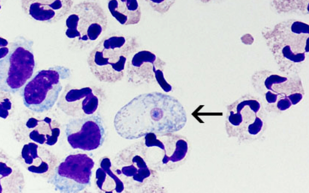
지난 해, 국내에서 처음으로 파울러자유아메바(네글레리아 파울러리)에 감염된 환자가 발생하여 사망했습니다. 해당 환자는 태국에서 4개월간 체류한 후 국내에 들어온 50대 남성으로, 귀국 당일 발열 등의 증상이 나타나고 다음날 뇌수막염 증상으로 응급실에 이송되어 치료를 받았으나 21일에 숨졌습니다. 이로써 국내 최초의 파울러자유아메바 감염 사례가 발생하였습니다. 파울러자유아메바는 뇌수막염을 일으켜 중증일 경우 사망에 이를 수 있는 원충입니다. 주로 호수나 강에서 수영이나 레저 활동을 할 때, 코를 통해 뇌로 침입하여 감염됩니다. 비염 치료를 위한 코세척기를 통해도 감염될 수 있습니다. 전 세계적으로 감염 사례는 드물지만, 감염 후 증상 진행이 빠르고 치명적입니다. 감염되면 2~3일 동안 잠복기를 거친 후 7~15일 동안 증상이 나타나며, 초기에는 두통과 혼미 상태를 보이다가 심한 두통, 발열, 구토, 혼수 상태로 이어져 사망에 이를 수 있습니다. 국내에서는 2017년에 전국 상수원 조사 결과 52개 지점 중 6개의 지점에서 파울러자유아메바 유전자가 검출되어 존재 가능성이 보고된 적이 있지만, 이번이 처음으로 국내에서 감염 환자가 발생하였습니다. 미국, 파키스탄, 인도, 중국, 일본 등에서도 감염 사례가 보고되었습니다. 해당 환자가 체류했던 태국에서는 지난해를 포함하여 40년간 외국인 여행자 17명이 파울러자유아메바에 감염된 사례가 있었습니다. 질병관리청장은 여행할 때 해당 지역의 수영 및 레저 활동을 삼가고 깨끗한 물을 사용하는 등 각별히 주의해야 함을 당부하였습니다.










▼ 함께 볼만한 화제의 글:
정체불명 소포 (타이완 괴소포, 브러싱 스캠, 독극물 테러 공포 대처)
주말 동안 전국에서 이상한 '노란 소포'가 발견되어 테러 공포가 확산되고 있습니다. 울산의 한 복지시설에서 처음으로 소포를 확인한 직원 3명이 어지럼증과 호흡불편 증상을 보였기 때문입니
whatsnew.serendipity92.com
신림역 칼부림 (목격자 인터뷰 영상, 30대 남, 범인 전과, 사망, 부상)
오늘(21일) 서울 관악구의 신림역 인근 상가 골목에서 30대 남성이 흉기를 휘둘러 1명이 사망하고 3명이 중상을 입은 사건이 발생했습니다. 범인은 어떤 사람인지 범행 동기는 무엇인지 사건에 대
whatsnew.serendipity92.com
채소류 가격 급등 (정부 농축산물 할인 혜택)
정부는 집중호우로 인해 발생한 농축산물 피해에 신속히 대처하기 위해 특별 대책을 마련했다고 합니다. 양파, 깻잎, 닭고기 등 가격이 급상승한 품목에 대해 할인 지원을 시행할 예정입니다.
3.serendipity92.com


댓글